Sydän ja verenkierto
Netissä:
- Hybrid Medical Animation | Animation | Interactive Heart
- Free biology Animations – Learnerstv.com:Cardiac Physiology
- Anatomy & Physiology of the Heart
- Free biology Animations – Learnerstv.com: Arrhythmias
- General&Human Biology: Animals; Transport Systems
- Biology; Student Edition; Circulation and Respiration
- http://commons.wikimedia.org/wiki/Heart
- http://commons.wikimedia.org/wiki/Category:Blood_vessels

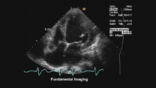
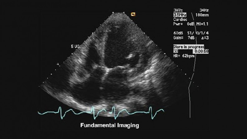
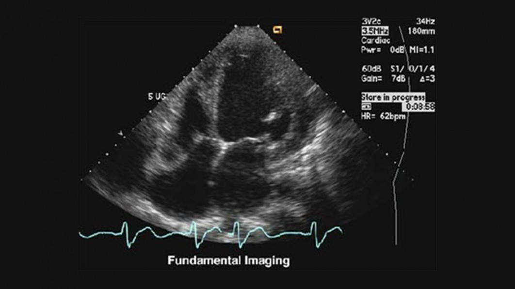
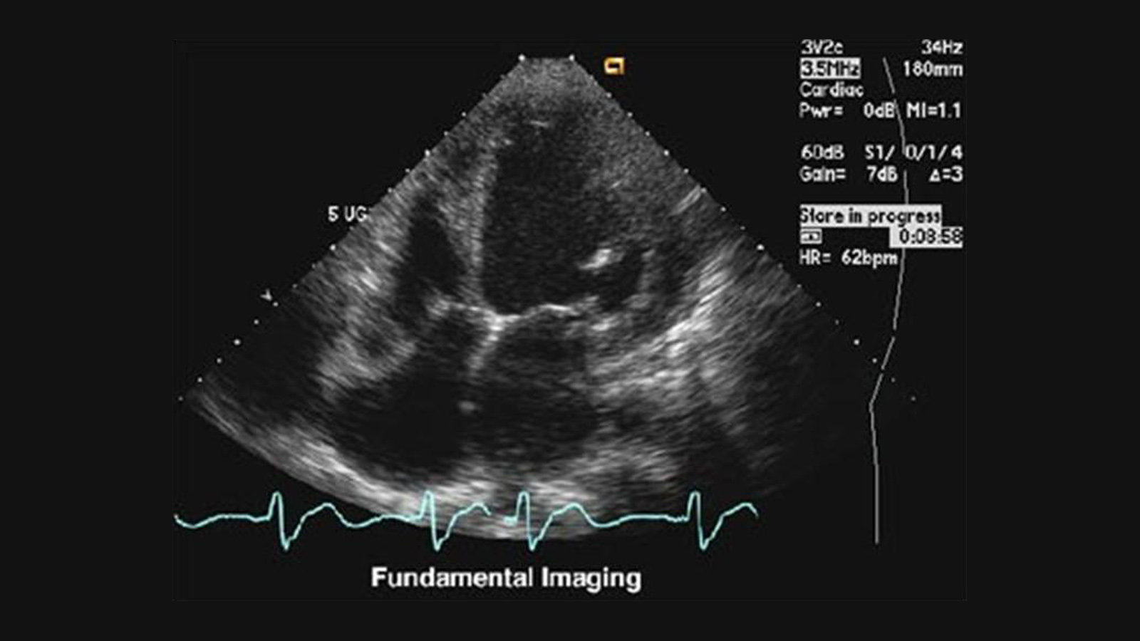
http://commons.wikimedia.org/wiki/File:Heart_without_THI.jpg; ultrasound, tissue harmonic imaging, 4-chamber-view; Public Domain

From the book, “The Human Body and Health Revised” by Alvin Davison, published in 1908 by Alvin Davison; [Public domain], via Wikimedia Commons







