Munuaiset
Eritystä ja säätelyä
Animaatio aluksi
Lisää animaatioita ja muuta nettimateriaalia
- Tutorial 51.1 The Mammalian Kidney
- sumanasinc.com/webcontent/animations; The Mammalian Kidney
- Biology; Student Edition; Maintaining the Internal Environment
- General&Human Biology: Animals; Osmoregulation
- www.biology-questions-and-answers; The Excretory System
- Elise Walmsley, BSc AAM | Medical Illustration
- Kidney Detail

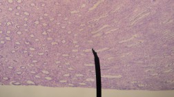
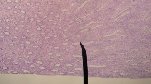
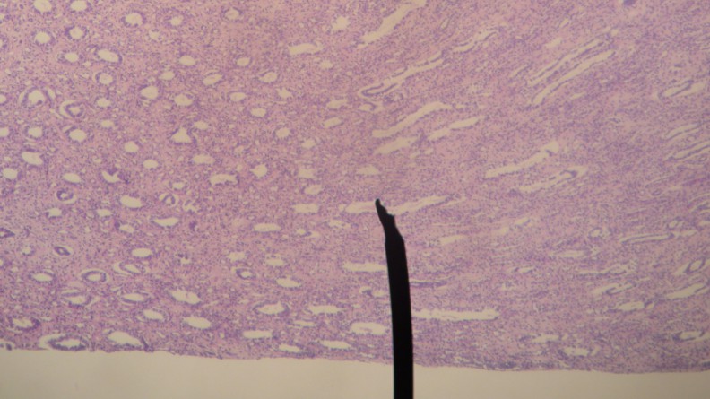
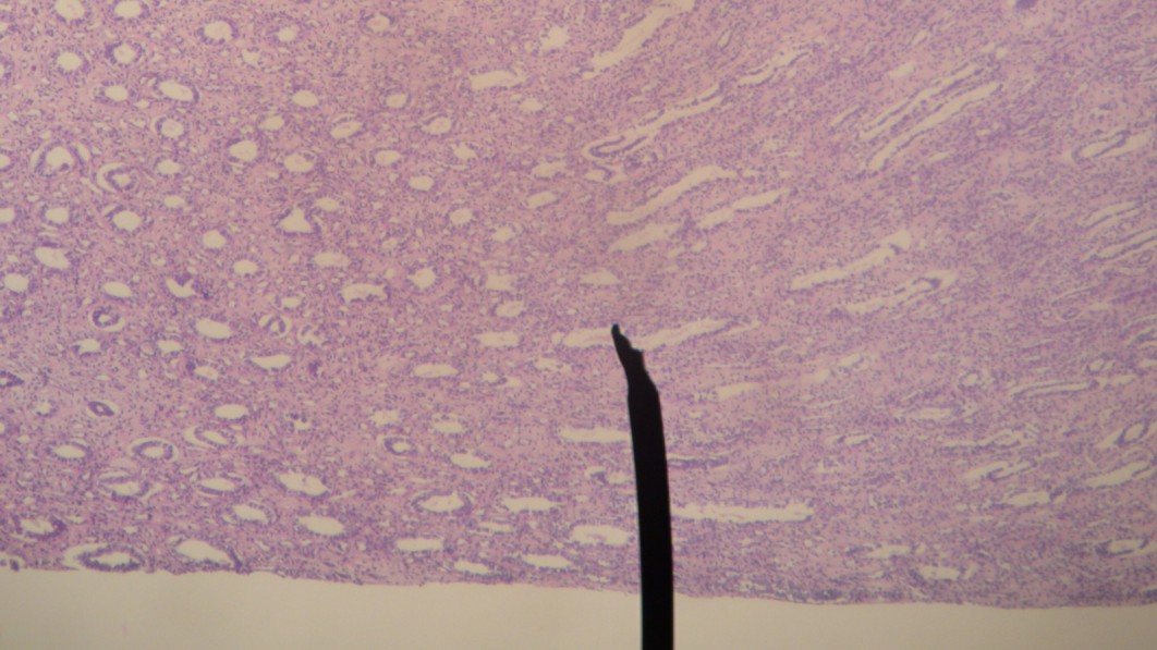
Author’ own picture. Human Kidney (Medulla). Digital camera shot through a microscope.By Jpogi at en.wikipedia (Own work Transferred from en.wikipedia) [Public domain], via Wikimedia Commons




